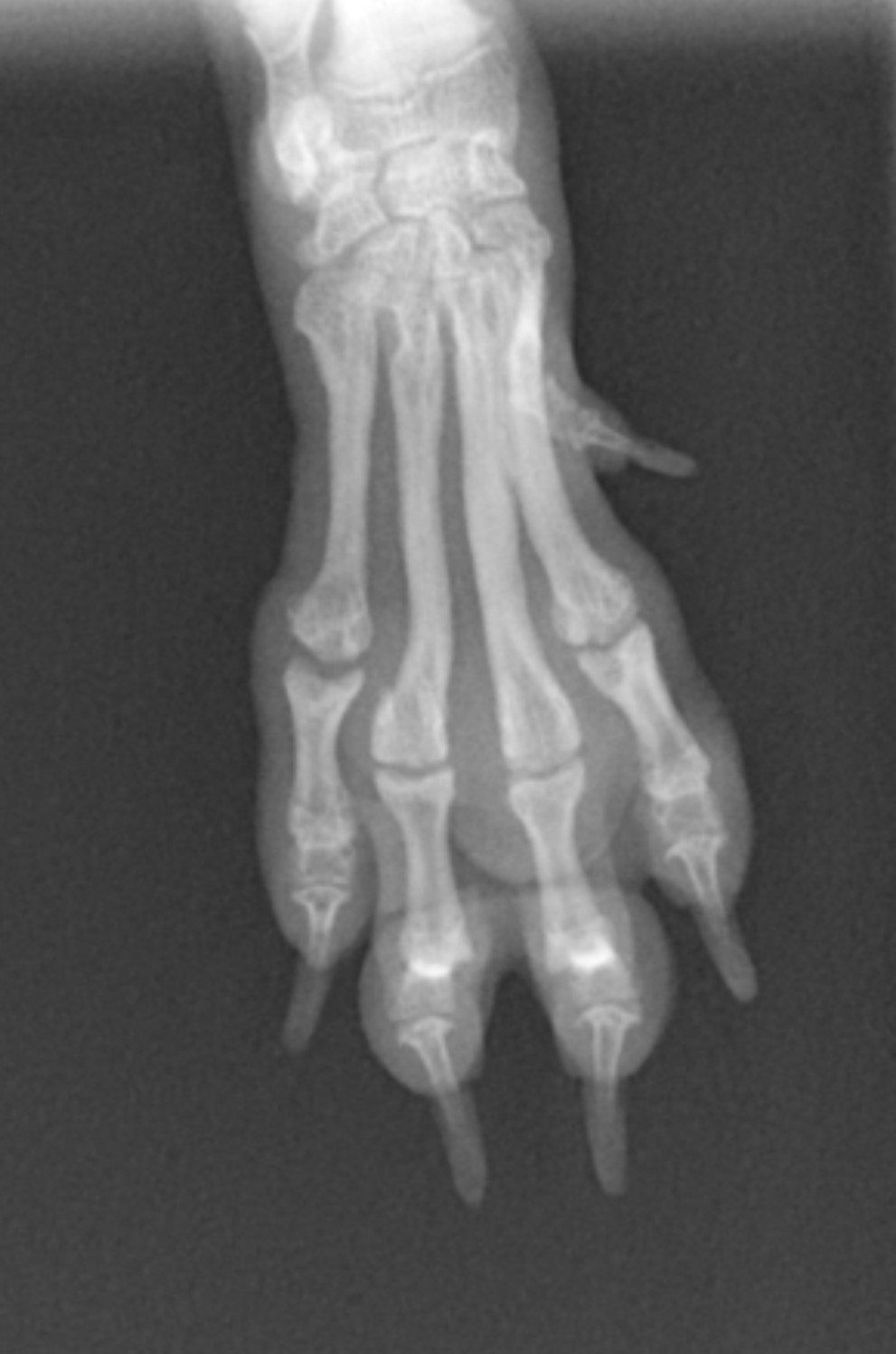
骨折2

 この症例は中手骨骨折で4本折れています。1本のみの場合や場所によっては手術をせず外固定で

経過をみることもありますが、この場合は外固定で回復する見込みは低く、手術を行いました。

 

 

 

 

 

 

 

 

 

 

 

 

 骨折した骨の幅は2.5mmほどでプレートを設置するには骨幅が狭すぎたため、ピンニング法を選

択しました。ピンは直径0.8mmを用意しました。 遠位より近位に向けて関節を貫通しないように

挿入し、のちに抜去する予定で遠位端は骨の外に出し、曲げています。この後数日から数週間おき

に細かくレントゲンを撮りながらずれていないか確認しながら経過を観察しました。

 

 

 

 

 

 

 

 

 

 

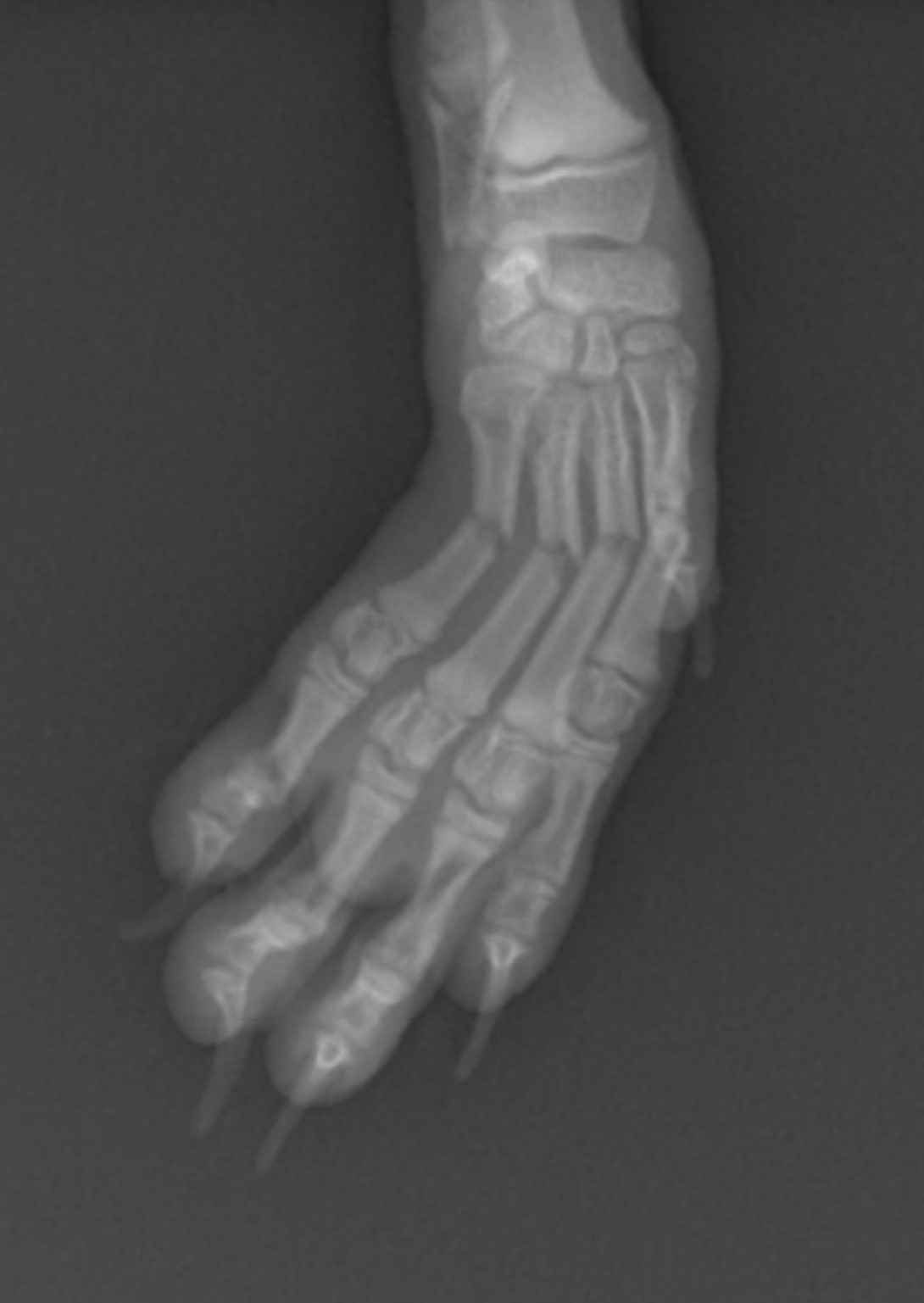
 ピンを挿入したままだと骨折部位は癒合しても細くなり、再骨折を起こしかねません。そのため、

ピンを段階的に抜去し、抜去した部位の骨が再骨折しないように外固定も併用し慎重に経過をみてい

きます。 最終的にはすべて抜去し完治にいたります。

 

2025年11月17日